Introduction
When it comes to brain imaging, two of the most commonly used techniques are CT scans and MRI scans. Both have their unique advantages and limitations, making them suitable for different scenarios. Understanding the differences between these imaging modalities is crucial for determining which is better suited for specific medical needs.
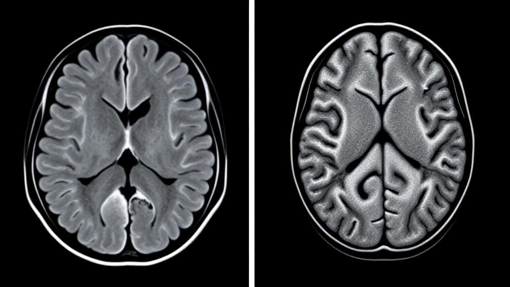
Basic Principles
CT Scan
CT scanning uses X-ray technology to create detailed cross-sectional images of the brain. Multiple X-ray beams and electronic detectors rotate around the patient, capturing data that computers transform into detailed images.
MRI
MRI technology employs powerful magnets and radio waves to generate detailed images of brain tissue. Unlike CT scans, MRI does not use ionizing radiation.
Comparing Key Factors
Speed and Accessibility
-
CT Scan
- Takes 5-10 minutes
- Widely available
- Lower cost
- Ideal for emergencies
-
MRI
- Takes 20-60 minutes
- Less accessible
- Higher cost
- Requires more patient cooperation
Image Quality and Detail
CT Scan Strengths
- Excellent for detecting:
- Acute bleeding
- Skull fractures
- Calcifications
- Large tumors
MRI Strengths
- Superior for visualizing:
- Soft tissue details
- White and gray matter
- Small tumors
- Multiple sclerosis lesions
- Blood vessel abnormalities
Clinical Applications
When CT is Preferred
- Emergency trauma cases
- Acute stroke evaluation
- Subarachnoid hemorrhage detection
- Initial screening for brain tumors
- Patients with medical implants or claustrophobia
When MRI is Preferred
- Detailed tumor evaluation
- Neurological disorder diagnosis
- Assessment of brain structure abnormalities
- Monitoring disease progression
- Surgical planning
Safety Considerations
"While both imaging methods are generally safe, CT scans involve ionizing radiation, whereas MRI does not. This makes MRI particularly suitable for patients requiring repeated imaging studies." - American Journal of Neuroradiology
Contraindications
Cost Implications
| Imaging Type | Average Cost Range | Insurance Coverage |
|---|---|---|
| CT Scan | $825-$4,800 | Generally covered |
| MRI | $1,600-$8,400 | Usually requires pre-authorization |
Making the Choice
The decision between CT and MRI often depends on:
- Clinical urgency
- Specific diagnostic requirements
- Patient factors
- Cost considerations
- Equipment availability
For optimal patient care, medical professionals often use both imaging modalities complementarily, leveraging the strengths of each to provide the most accurate diagnosis and treatment planning.
Conclusion
Neither imaging method is universally "better" - each has its optimal applications. CT scans excel in emergency situations and initial evaluations, while MRI provides superior detail for comprehensive neurological assessment. Consulting with a healthcare professional can help determine the most appropriate imaging technique for a given condition.
For further reading, you might find these resources helpful:
