Understanding MRI and CT Scans
Basic Principles
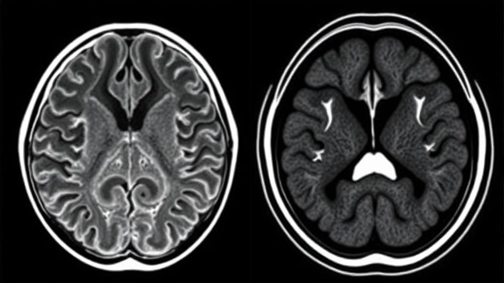
Magnetic Resonance Imaging (MRI) uses strong magnetic fields and radio waves to generate detailed images of organs and tissues. The technology works by manipulating hydrogen atoms in the body's water molecules, producing signals that are converted into high-resolution images.
Computed Tomography (CT) uses X-rays to create detailed cross-sectional images of the body. These "slices" can be viewed individually or stacked together to create three-dimensional representations.
Comparative Advantages
MRI Strengths
- Superior soft tissue contrast
- Better visualization of white and gray matter
- Excellent for detecting subtle abnormalities
- Multiple imaging sequences available
- No exposure to ionizing radiation
CT Strengths
- Quick and widely available
- Better for detecting acute bleeding
- More suitable for emergency situations
- Lower cost
- Better for viewing bone structures
Clinical Applications
When to Use MRI
MRI is typically preferred for:
- Brain Tumors: Provides clear images of tumor size and location
- Multiple Sclerosis: Can detect lesions in brain and spinal cord
- Stroke: Provides detailed information about brain damage
- Developmental abnormalities
- Spine and disc problems
When to Use CT Scan
CT scans are ideal for:
- Head Injuries: Excellent for detecting skull fractures
- Acute trauma assessment
- Hemorrhage detection
- Emergency situations
- Hydrocephalus assessment
Practical Considerations
Patient Factors
"The choice between MRI and CT often depends on factors beyond just diagnostic capability. Patient comfort, claustrophobia, and the ability to remain still are crucial considerations." - American College of Radiology
Contraindications
MRI Contraindications:
- Pacemakers
- Metal implants
- Claustrophobia
- Pregnancy (first trimester)
CT Contraindications:
- Pregnancy (relative contraindication)
- Previous radiation exposure
- Contrast agent allergies
Cost and Availability
Financial Aspects
MRI typically costs more than CT scanning:
- MRI: $1,000 - $3,000
- CT: $500 - $1,500
Accessibility
CT scanners are more widely available in hospitals and emergency settings, while MRI facilities may require scheduling and longer wait times.
Future Developments
Recent technological advances include:
- Advanced MRI techniques like functional MRI (fMRI) and diffusion tensor imaging (DTI)
- Reduced radiation dose CT protocols
- Artificial intelligence integration for image analysis
- Hybrid imaging systems
Making the Right Choice
The decision between MRI and CT should be based on:
- Clinical urgency
- Suspected pathology
- Patient characteristics
- Cost considerations
- Equipment availability
For optimal patient care, healthcare providers should consider all these factors when selecting the most appropriate imaging technique for brain analysis.
For more information, visit:
